当院では整形外科分野において経験豊富な放射線技師が常勤し、検査にあたっています。
整形外科に特化した専門性のあるレントゲン検査
専門的な整形外科の診療には、いろいろな疾患の可能性から正確に病態を把握するため、常に精細かつ鮮明なレントゲン画像が必要となってきます。
整形外科分野でのX線撮影は、さまざまな部位で活用されます

ですが、単に痛みの場所が写るように撮影しても決して正確な診断にはつながりません。可能性のある病態を写し出し、診断の確定に繋げるために必要な画像はさまざまで、その画像を得るためには細やかな姿勢や角度の調整が必要となってきます。
例えば、肩が痛いとします。しかし痛みの原因はさまざまで、起こったきっかけや時期、そして年齢や性別等を考慮しなければなりません。
- 何のきっかけもなく突然痛みが出たのか?
- 転倒した外傷によるものなのか?
- スポーツをしての痛みなのか?
- またそのスポーツは野球などの投げる動作を伴うもの?
- あるいはラグビーのようなコンタクトプレーを伴うもの?
原因やきっかけはさまざまです。


ここで肩のX線撮影が必要となってきますが、単に肩の撮影といっても肩専門の整形外科分野では十数通りもの撮影法があります。痛みが起こった状況や年齢を踏まえ、この撮影法の中から適切なものを組み合わせ撮影することで、レントゲン撮影は医師の正確な診断の一助となります。
症例
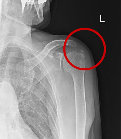
きっかけなく左肩痛

通常の正面撮影では異常は見当たらず
写っているそれぞれの骨の形状や位置関係が正常であることは確認できるが、痛みの原因特定には至らない画像

棘上筋が骨に付着する箇所が見えるよう姿勢調整し撮影
棘上筋腱に隠れていた
石灰沈着を描出
診断:石灰性腱炎
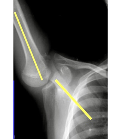
10代男児(野球の投球にて右肩の痛み)
※上腕骨の回旋ストレスを無くす特殊な姿勢で撮影

正常
上腕骨と肩甲骨の肩甲棘がバランスよく一致

異常
上腕骨と肩甲骨の肩甲棘のバランス(肩甲上腕リズム)の乱れ
肩甲骨周囲の筋力・柔軟性の低下による機能不全から起こった痛みと診断
肩以外においてもさまざまな部位で、その症状に特化した撮影法があります。
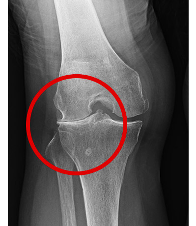
60代女性(きっかけなくだんだんと右膝の歩行時痛)

骨に異常はないが、関節に体重がのっていないため、関節の軟骨があたかも正常であるかのように写ったレントゲン画像

レントゲン画像には写らない関節軟骨がすり減ることにより、体重がかかると関節の隙間が消失
痛みの状況を再現することにより、正確な診断へ結びづける
より良い検査には医師の的確な判断と技師の技術が求められます
やまがみ整形外科では、必要に応じた最小限のX線検査で的確な診断から最適な治療につながるよう努めています
レントゲン検査の放射線量について
レントゲン検査は現代の医療現場で欠かせないものとなった一方で、放射線量が気になる方もいらっしゃると思います。一般的に人体に影響が出る放射線量被曝量は200ミリシーベルトです。病院でのレントゲン検査は撮影条件によって多少は異なりますが、胸部レントゲン撮影では約0.05ミリシーベルト、腰椎撮影は約1.5ミリシーベルトです。ただ私たちは普段の生活の中で自然界からも放射線を浴びていて、住んでいる場所や行き先にもよりますが年間約2.4ミリシーベルトとされています。

よってレントゲンによってうける健康への影響は、無視していいほど小さなものと考えられます。このことから、レントゲン検査をうけないことにより疾患の適正な治療・判断ができないリスクよりも、必要最小限の範囲内でのレントゲン撮影をうけるほうがリスクは格段に低いと言うことができます。
当院では新しいX線撮影装置を採用しています
当院X線撮影装置、フラットパネルディテクタ(FPD)とは

被曝の低減が可能
従来システムより感度が高いため、約30%少ないX線量で検査が可能です。また、患者さん一人ひとりの体格に合わせた調整で、さらなる被曝低減を心がけています。
高画質で診断しやすい画像
少ないX線でも高精細な画像の構築が可能です。微細な骨折や、厚みのある部位でも適切な画像処理で診断しやすい画像が提供できます。
待ち時間の短縮
従来の撮影装置にくらべて画像を瞬時に処理できるため(撮影してから画像表示まで約2秒)、検査時間や検査待ち時間の大幅な短縮が可能です。
身体的負担を軽減
従来では撮影体位を変更する際に、そのつど装置を入れ替えて撮影していました。フラットパネルは入れ替えなく連続撮影が可能なので、疼痛を伴う患者さんにも短時間でやさしい検査が可能です。
安心して検査をうけていただけますが、ご不明な点がありましたら検査スタッフまでお問い合わせください

- 院長
- 山上 直樹(やまがみ なおき)
- 診療科目
- 整形外科・リハビリテーション科・スポーツ整形外科
- 住所
- 〒655-0003
兵庫県神戸市垂水区小束山本町3-1-2
グルメシティ小束山施設内 - 電話
- 078-754-5388
- アクセス
-
電車・バスをご利用の場合
- 神戸市営地下鉄【学園都市駅】より山陽バス(11系統)2番のりばから垂水東口行き【東多聞】下車
※バス所要時間約10分・徒歩1分 - JR垂水駅より山陽バス(11系統)2番乗り場から学園都市駅行きまたは学が丘行き【東多聞】下車
※バス所要時間約20分・徒歩1分 - 神戸市営地下鉄【名谷駅】より山陽バス(14系統)舞子高校前行き【東多聞】下車
※バス所要時間約15分・徒歩1分
お車でお越しの場合- 神戸淡路鳴門自動車道【垂水IC】で下車。舞子多聞線を西へ2分
- 第2神明北線より垂水警察署交差点を左折5分
※グルメシティ小束山店内無料駐車場360台あり
- 神戸市営地下鉄【学園都市駅】より山陽バス(11系統)2番のりばから垂水東口行き【東多聞】下車
| 診療時間 | 月 | 火 | 水 | 木 | 金 | 土 | 日 |
|---|---|---|---|---|---|---|---|
| 9:00~13:00 受付時間 (8:30~12:30) |
○ | ○ | × | ○ | ○ | ○ | × |
| 15:00~19:00 受付時間 (14:30~18:30) |
○ | ○ | × | ○ | ○ | △ | × |
休診日水曜、日曜、祝日
△:14:00~17:00(受付13:30~16:30)
※当院は予約制での診療を行っております。必ずインターネット、お電話で予約をとってからお越しください。
