我々のスポーツに対する治療姿勢は、多少の痛みがあっても、重篤な状態でなければ極力競技を継続しながらリハビリテーションを行い並行して治すことです。休まないといけいない状態の時もただ休むだけでなく、早期復帰・予防を含めたリハビリテーションを行い休んでいる時間を有効に使うようにします。
投球動作とは?
投球動作において最も大切なことは、
「全身を使った動作でボールにエネルギーを伝えること」です。

ボールに伝わるエネルギーは、下半身→体幹→上半身へと順番に伝わっていきます。図のように一連の動作が行えていないとケガをしやすくなります。
下半身→体幹→上半身へとうまくエネルギーを伝えることができると、速度が上がったり、コントロールが良くなったり疲れにくくなったりします。
投球障害とは?
投球動作を繰り返すことや投球過多により身体が硬くなったりします。その状態で投球動作を行うことで下半身・体幹を使ったフォームで投球することが出来なくなります。いわゆる手投げ、開きが早くなる投球フォームになり、関節、靭帯、筋肉に負担がかかり痛みが生じます。
ほとんどの場合( 9割程度)は、リハビリテーション(柔軟性改善や投球フォーム指導など)で改善しますが、1割弱程度で手術を必要とすることがあります。

野球肘
野球肘は、① 外側型野球肘 ② 内側型野球肘 ③ 後方型野球肘の3種類があります。
近年、野球肘検診が全国的に広まってきております。その野球肘検診では、主に外側型野球肘のチェックを行っています。外側型は、無症状で進行していき、症状が出た時には手術が必要になる場合が多いです。外側型は、早期に発見できれば自然治癒が期待できますので野球肘検診でチェックを行っています。

① 外側型野球肘
発症時期
成長期 ( 12歳前後 )
特徴
2-3人/100人の割合(2-3%)で発症します。初期の段階ではほとんど症状が出ないことが特徴です。そのため、知らずに野球を続けていると骨の状態が悪化し、肘の外側の痛み、肘の曲げ伸ばしに制限が出るといった症状が出てきます。症状が進行すると、日常生活にも支障をきたし手術に至る場合もあります。
離断性骨軟骨炎の画像

肘の外側

正常
(3D-CT)

離断性骨軟骨炎
(3D-CT)
離断性骨軟骨炎の病期分類

正常

初期(透亮期)

進行期(分離期)

終末期(遊離期)
早期発見方法
- 自然治癒が見込める初期の段階でみつけるためには野球肘検診でのエコー検査が有用です。
- 1回受ければ大丈夫というわけではありませんので半年から1年おきに野球肘検診に参加して検査を行いましょう。
② 内側型野球肘
特徴
供の野球肘は、ほとんどがこの内側型野球肘です。少年野球選手の20%以上にみられたという報告もあります。
成長期(小学生〜中学生)では、骨の成長が不十分なため骨が肘の内側の筋肉に引っ張られて剥がれること(内側上顆剥離骨折)や成長期以降では肘内側の靭帯損傷(内側側副靭帯損傷)が生じることがあります。
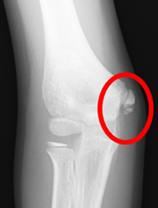
内側型野球肘の画像

肘の内側

正常
(レントゲン)

内側上顆裂離骨折
(レントゲン)
③ 後方型野球肘
特徴
ボールリリースから後の動作で( 肘を伸ばした時 ) 肘の後ろの骨や筋肉に問題が発生します。
初期は痛みを伴わないケースがありますが、特に肘の伸ばした時に痛みを伴うことが特徴です。投球を休止し、痛みが治まったら投球を再開しますがなかなか治らない場合にはボルトなどで離れている箇所を固定する手術を行うことがあります。
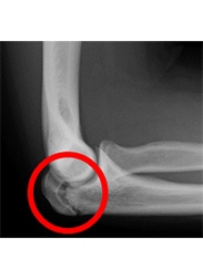
後方型野球肘の画像

肘の後方

正常
(レントゲン)

肘頭骨端線離開
(レントゲン)
野球肩
成長期(小学生〜中学生)の骨には骨端線と呼ばれる骨が成長するための軟骨部が存在します。軟骨部は強度が弱いため繰り返しの投球動作によりその骨端線に負担がかかり、骨端線が離開する(リトルリーガーズショルダー)が生じることがあります。
成長期以降では、骨が成長し強くなるため、骨より肩周囲の筋肉や関節唇(肩関節を安定させる軟骨)に負担がかかることが多くなります。投球動作を繰り返すことで関節唇の上部と上腕の筋肉、靭帯がつながっている部分の損傷(S L A P損傷・関節唇損傷 )が生じることがあります。
骨端線や肩関節内部に異常がない場合は、肩関節周囲の筋肉に痛みが出ること(回旋筋腱板症候群)があります。

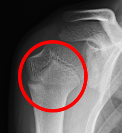
正常
(レントゲン)

リトルリーガーズ・ショルダー
(レントゲン)
投球障害のリハビリテーション
投球障害は、野球活動を休んでいるだけは解決されません。休んでいると痛みはマシになってきますが、痛みの原因となっているからだの柔軟性や投球フォームが改善されていなければ、再び痛みを繰り返してしまいます。
痛みを繰り返さないためには、からだの柔軟性改善やある程度適切な投球フォームを覚えることが必要です。
幼い時期は集中力や体力が持続しない時期でもあります。本人の個性を残し重要な部分の動作指導を中心に行います。
我々のスポーツに対する治療姿勢は、多少の痛みがあっても、重篤な状態でなければ極力競技を継続しながらリハビリテーションを行い並行して治すことです。休まないといけいない状態の時もただ休むだけでなく、早期復帰・予防を含めたリハビリテーションを行い休んでいる時間を有効に使うようにします。
野球肘検診
野球肘検診とは?
野球肘の中で肘の外側に発症する離断性骨軟骨炎を早期に発見し、治療を行うことです。離断性骨軟骨炎は、骨・軟骨・筋肉などが発達途中の小・中学生に多く、そのほとんどが無症状に進行します。痛みが出現した時には既に重症であることも珍しくありません。初期の段階で発見され治療すれば元通りに治すことが可能です。その初期の段階で発見する方法は、野球肘検診での超音波検査のみとなります。


検診の内容
- 超音波検査
- 肘の状態チェック
- 身体の柔軟性チェック
- 状態に応じたストレッチ指導
検診の場所
当院リハビリテーション室
検診の日時
随時 (要申し込み)
検診の対象年齢
小学4年生~中学3年生
お申込み方法
下記よりお申し込みください
お問い合わせ先
やまがみ整形外科 リハビリテーション科 米澤 直樹

- 院長
- 山上 直樹(やまがみ なおき)
- 診療科目
- 整形外科・リハビリテーション科・スポーツ整形外科
- 住所
- 〒655-0003
兵庫県神戸市垂水区小束山本町3-1-2
グルメシティ小束山施設内 - 電話
- 078-754-5388
- アクセス
-
電車・バスをご利用の場合
- 神戸市営地下鉄【学園都市駅】より山陽バス(11系統)2番のりばから垂水東口行き【東多聞】下車
※バス所要時間約10分・徒歩1分 - JR垂水駅より山陽バス(11系統)2番乗り場から学園都市駅行きまたは学が丘行き【東多聞】下車
※バス所要時間約20分・徒歩1分 - 神戸市営地下鉄【名谷駅】より山陽バス(14系統)舞子高校前行き【東多聞】下車
※バス所要時間約15分・徒歩1分
お車でお越しの場合- 神戸淡路鳴門自動車道【垂水IC】で下車。舞子多聞線を西へ2分
- 第2神明北線より垂水警察署交差点を左折5分
※グルメシティ小束山店内無料駐車場360台あり
- 神戸市営地下鉄【学園都市駅】より山陽バス(11系統)2番のりばから垂水東口行き【東多聞】下車
| 診療時間 | 月 | 火 | 水 | 木 | 金 | 土 | 日 |
|---|---|---|---|---|---|---|---|
| 9:00~13:00 受付時間 (8:30~12:30) |
○ | ○ | × | ○ | ○ | ○ | × |
| 15:00~19:00 受付時間 (14:30~18:30) |
○ | ○ | × | ○ | ○ | △ | × |
休診日水曜、日曜、祝日
△:14:00~17:00(受付13:30~16:30)
※当院は予約制での診療を行っております。必ずインターネット、お電話で予約をとってからお越しください。
